
2月14日,一名年仅2岁4个月、因重度耶氏肺孢子菌肺炎导致肺纤维化的危重患儿小佩(化名),在中南大学湘雅三医院儿科重症监护病房(PICU)经过60天多学科联合救治后,生命体征趋于平稳,顺利出院。

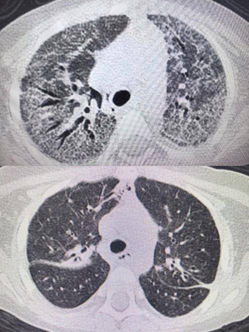
2025年12月10日,小佩因发热2天、气促半天被收治入院。该患儿一年前确诊急性淋巴细胞白血病,此次在维持化疗阶段发生肺部耶氏肺孢子菌感染,病情迅速进展为重度急性呼吸窘迫综合征并继发呼吸衰竭,后进一步发展为肺纤维化。入院时,小佩表现为呼吸急促、精神萎靡、尿量减少及经皮血氧饱和度持续下降,生命体征不稳。

PICU团队接诊后立即启动应急救治流程。在给予呼吸支持、抗感染治疗及纤维支气管镜检查与肺泡灌洗后,患儿氧合状态一度维持稳定。12月11日凌晨,其血氧饱和度再次下降,无创呼吸机辅助通气难以维持,医护团队果断行气管插管,转为有创呼吸机辅助通气。由于呼吸机参数持续处于高位,科室随即组织多学科专家会诊,制定并实施“个体化综合救治方案”,涵盖呼吸功能支持、肺康复治疗、抗感染管理、营养干预及皮肤与口腔护理等多个方面。针对肺部感染及纤维化,救治团队先后实施五次纤维支气管镜下肺泡灌洗术、三次间充质干细胞治疗及两次NK细胞治疗,并根据病情动态调整抗感染方案。在60天救治过程中,小佩的呼吸支持方式经历了从无创通气、气管插管、气管切开,最终降至鼻导管吸氧的逐步过渡,肺功能逐步恢复。

在临床救治的同时,医护团队关注患儿心理需求,轮班陪伴安抚,通过播放音乐、动画片等方式缓解其恐惧情绪。待病情稳定后,团队引导家属参与护理,以亲情陪伴支持患儿康复。


该病例的成功救治体现了湘雅三医院PICU在儿童危重症综合救治领域的专业技术与多学科协作能力,也为耶氏肺孢子菌感染后继发肺纤维化的临床处理积累了经验。
潇湘晨报·晨视频记者刘畅 通讯马旭华 赵琴
举报/反馈隆源配资提示:文章来自网络,不代表本站观点。